tree in bud opacities in lungs
Nodules micronodules and tree-in-bud opacities. Computerized detection of tree-in-bud pattern.
P201 Mediastinal Hodgkin Lymphoma The Answer To Post 200 Swipe Left For Other Images Thanks For The Co Pediatric Radiology Hodgkins Lymphoma Pediatrics
Focal bronchiolitis pattern.
. In addition the centrilobular nodules have a branching configuration and appear to arise from a stalk otherwise known as a tree-in-bud pattern. The tree-in-bud sign is a nonspecific imaging finding that implies impaction within bronchioles the smallest airway passages in the lung. Other noninfectious conditions that produce bronchiolar impaction and a tree-in-bud.
The tree-in-bud sign is a nonspecific imaging finding that implies impaction within bronchioles the smallest airway passages in the lung. 11 TIB opacities represent a central imag- Background. 3 found that the tree-in-bud pattern was seen in 256 of the CT scans in patients with bronchiectasis.
The purpose of this study was to determine the relative frequency of causes of TIB opacities and identify patterns of disease associated with TIB opacities. Tree-in-bud TIB opacities are a common imaging finding on thoracic CT scan. TIB opacities represent a normally invisible branches of the bronchiole tree 1 mm in diameter that are severely impacted with mucous pus or fluid with resultant dilatation and budding of the terminal bronchioles 2 mm in diameter1 photo.
The tree-in-bud-pattern of images on thin-section lung CT is defined by centrilobular branching structures that resemble a budding tree. Not only are these patterns difficult to detect but micro-nodules and other normal and abnormal structures have strong shape and appearance similarities with existing structures in the lungs. What does opacity mean on chest xray.
We investigated the pathological basis of the tree-in-bud lesion by reviewing the pathological specimens of bronchograms of normal lungs and contract radiographs of the post-mortem lungs manifesting active. The tree-in-bud pattern suggests active and contagious disease especially when associated with adjacent cavitary disease within the lungs. The tree-in-bud pattern is classically associated with endobronchial spread of tuberculosis or atypical mycobacterial infection.
The tree-in-bud sign is a nonspecific imaging finding that implies impaction within bronchioles the smallest airway passages in the lung. These nodules are centered within the secondary pulmonary lobule without involvement of the subpleural lung compatible with a centrilobular distribution. In radiology the tree-in-bud sign is a finding on a CT scan that indicates some degree of airway obstruction.
Bronchiectasis which may be of any cause can produce the tree-in-bud pattern. However to our knowledge the relative frequencies of the causes have not been evaluated. The most common CT findings are centrilobular nodules and branching linear and nodular opacities.
Lung nodules are usually about 02 inch 5. Metastastatic tumour emboli in pulmonary arterioles may also present with a tree-in-bud pattern which in this case refers to the vascular rather than the bronchial tree. The tree-in-bud pattern suggests active and contagious disease especially when associated with adjacent cavitary disease within the lungs.
Tree-in-bud TIB appearance in computed tomography CT chest is most commonly a manifestation of infection. Tree-in-bud appearances on CT scans are usually inflammation in the terminal bronchioles and alveoli the very small airways and airspaces. It can be seen with TB and fungal infections as well.
The most common CT findings are centrilobular nodules and branching linear and nodular opacities. We here describe an unusual cause of TIB during the COVID-19 pandemic. Commonly its seen with infections like MAC mycobacterium avium complex a chronic but usually benign condition.
In this regard what does tree in bud mean. In radiology the tree-in-bud sign is a finding on a CT scan that indicates some degree of airway obstruction. Nodules 110 mm in diameter may be seen in a number of lung infections.
A young male patient who had a history of fever cough and respiratory distress presented in the emergency department. Tree in bud opacification refers to a sign on chest CT where small centrilobular nodules and corresponding small branches simulate the appearance of the end of a branch belonging to a tree that is in bud. Tree-in-bud refers to a pattern seen on thin-section chest CT in which centrilobular bronchial dilatation and filling by mucus pus or fluid resembles a budding tree.
Although initially described in 1993 as a thin-section chest CT finding in active tuberculosis TIB opacities are by. This collage is presented to reveal tree in bud changes resulting from impaction in the smaller terminal bronchioles and respiratory units. Originally and still often thought to be specific to endobronchial Tb the sign is actually non-specific and is the manifestation of pus.
Download high-res image 234KB Download. Another important entity that can produce the tree-in-bud pattern is bronchioalveolar carcinoma BAC 1. Is a 7mm lung nodule big.
However to our knowledge the relative frequencies of the causes have not been evaluated. There are many technical obstacles to detecting complex shape patterns such as tree-in-bud that are associated with pulmonary infections. High-resolution CT usually reveals small 24-mm centrilobular nodules and branching linear opacities of similar caliber originating from a single stalk Figs 2 3 4.
These small clustered branching and nodular opacities represent terminal airway mucous impaction with adjacent peribronchiolar inflammation. Multiple causes for tree-in-bud TIB opacities have been reported. No other findings were present and no further evaluation was performed.
Multiple causes for tree-in-bud TIB opacities have been reported. Tree in Bud Sign Bronchopulmonary Aspergillosis ABPA CT scan through the chest shows medium sized bronchi bronchioles and small airways impacted with fluid. It is either caused by the filling of the centrilobular arteries with tumour emboli or by the fibrocellular intimal hyperplasia induced by tumour microemboli.
A 70-year-old woman with transitional cell carcinoma and no pulmonary symptoms. There is a cluster of small tree-in-bud TIB opacities arrowheads in the left upper lobe. Usually somewhat nodular in appearance the tree-in-bud pattern is generally most pronounced in the lung periphery and associated with abnormalities of the larger airways.
In radiology the tree-in-bud sign is a finding on a CT scan that indicates some degree of airway obstruction. In clinical practice however it can reflect a wide variety of pathogens including bacterial fungal and viral organisms. TIB opacities are also associated with bronchiectasis and small airways obliteration resulting in mosaic air trapping.
The tree-in-bud pattern occurs commonly in pa-tients with endobronchial spread of Mycobacte-rium tuberculosis and is highly suggestive of active tuberculosis 23. Pulmonary opacification represents the result of a decrease in the ratio of gas to soft tissue blood lung parenchyma and stroma in the lung.
Ct Scan Of The Chest Showing Bilateral Lungs Ground Glass And Download Scientific Diagram
Tree In Bud Pattern Pulmonary Tb Eurorad
Ct Scan Of Chest Revealing Scattered Tree In Bud Opacities In Both Download Scientific Diagram
Tree In Bud Sign And Bronchiectasis Radiology Case Radiopaedia Org
Ct Scan Of Chest Revealing Scattered Tree In Bud Opacities In Both Download Scientific Diagram
Pdf Tree In Bud Semantic Scholar
Pulmonary Opacity Extensive Pattern Springerlink
Tree In Bud Sign Lung Radiology Reference Article Radiopaedia Org
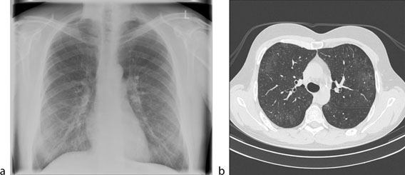
A Chest X Ray With A Miliary Pattern And A Tree In Bud Sign Download Scientific Diagram
Plain Film Appearance Of Bronchiectasis In Kartagener S Syndrome A Pa Chest Radiograph Shows Situs Inversus Increased Linear In 2022 Chronic Situs Inversus Disease
View Of Tree In Bud The Southwest Respiratory And Critical Care Chronicles
References In Causes And Imaging Patterns Of Tree In Bud Opacities Chest
Infectious Bronchiolitis With Extensive Tree In Bud Pattern Radiology Case Radiopaedia Org Pattern Bud Case
Tree In Bud Sign Lung Radiology Reference Article Radiopaedia Org
2 3 Tree In Bud Pattern Seen In Both Lower Lobes Centrilobular Download Scientific Diagram



